La Rétinopathie Diabétique (RD), qu’est ce que c’est ?
Le diabète est une maladie cécitante, lorsque le taux de glycémie ne parvient pas à être équilibré.
La micro angiopathie induite entraine une ischémie rétinienne et le développement de néo vaisseaux rétiniens constituant la RD.
Elle est évolutive sur trois stades et peut se compliquer de néo vascularisation, on parle alors de rétinopathie proliférative, dont le traitement est urgent.
Le traitement de la RD repose sur le respect des règles hygiéno-diététiques, l’équilibre de la glycémie en collaboration avec le médecin traitant ou l’endocrinologue.
Dans certains cas il faut réaliser une pan photo coagulation au laser, guidée par l’angiographie rétinienne et/ou des injections intravitréennes.
Le succès du traitement est conditionné par l’équilibre des facteurs glycémiques et cardiovasculaires.
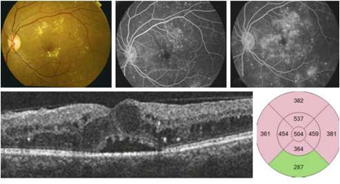
L’oedème maculaire diabétique (OMD), qu’est ce que c’est ?
En association avec la rétinopathie diabétique ou bien de façon isolée, la macula peut être le siège d’une inflammation secondaire au diabète, on parle d’OMD.
Cet œdème entraine une importante baisse d’acuité visuelle.
Le traitement de l’OMD repose sur le respect des règles hygiéno-diététiques, l’équilibre de la glycémie en collaboration avec le médecin traitant ou l’endocrinologue.
Dans certains cas il faut réaliser des injections intravitréennes, soit d’antivegf (Lucentis, Eyelea), soit de corticoïdes (Ozurdex, Iluvien).
Le succès du traitement est conditionné par l’équilibre des facteurs glycémiques et cardiovasculaires.
La RD, quels sont les symptômes ?
Il existe des formes asymptomatiques, il s’agit des formes minimes à modérée de RD. Ou bien de légers œdèmes maculaires, n’entravant pas encore la vision.
L’importance du dépistage est essentielle : « tout diabétique doit réaliser une fond d’œil une fois par an minimum »
Lorsque la maladie est établie les symptômes peuvent êtres :
-Baisse d’acuité visuelle légère à totale
-Déformation des lignes (métamorphopsies)
-Perte de sensibilité aux faibles contrastes
-Myodesopsies (mouches dans le champ de vision)
Vision voilée
Existe-t-il un stade précurseur ?
Oui , d’où l’importance du dépistage par fond d’œil :
« tout diabétique doit réaliser une fond d’œil une fois par an minimum »
Plus le diabète est ancien et plus le risque est grand.
Tout diabète déséquilibré est un risque supplémentaire.
En cas de grossesse, ou de perturbation hormonale, le diabète peut aussi se déséquilibrer et une rétinopathie apparaître.
Quels examens sont réalisés ?
Comment se déroulent les injections ?
Elles ne sont pas douloureuses.
Il n’est pas nécessaire d’être à jeun.
Réalisées en salle blanche dédiée, une préparation avec mesures d’hygiène et anesthésie par collyre est réalisée avant l’injection.
Puis en position allongée sur un fauteuil, une détersion à la Bétadine oculaire est réalisée par le chirurgien puis l’injection ne dure que quelques secondes.
Des collyres antibiotiques ou antiseptiques sont prescrits et doivent être poursuivis après l’injection.
Comment se déroulent les séances de laser sur la rétine ?
Elles ne sont pas douloureuses.
Il n’est pas nécessaire d’être à jeun.
Un collyre mydriatique est instillé afin de dilater la pupille pour accéder au fond d’œil.
Vous êtes assis face à la lampe et un verre contact est posé sur l’œil après anesthésie locale de celui-ci par collyre.
La séance ne dure que quelques minutes.
Après le laser, vous êtes d’abord éblouis puis la vision revient totalement après quelques instants.
Aucun traitement n’est requis jusqu’au prochain rendez vous.

Quelle est la durée du traitement ?
La phase d’induction comprends 5 injections mensuelles, suite à cela le Dr MARTIANO réévalue le profil évolutif de la pathologie et établit un protocole de traitement personnalisé.
L’objectif est d’espacer au maximum les injections en définissant l’intervalle de récidive, afin de permettre à la rétine de rester sèche le plus longtemps possible.
Le rythme et la durée du traitement seront donc très différentes d’un patient à l’autre selon la forme présentée et le type de traitement proposé : antivegf / corticoïdes / laser.
Suivi à domicile – Télémédecine
Le Dr MARTIANO et son équipe ont mis en place un dispositif de suivi à distance de l’évolution de vos symptômes grâce à l’application Odysight de TILAK©
Demandez au médecin de vous y inscrire. Nous recevons des alertes et convoquons les patients qui présentent des récidives parfois avant même que la gène se fasse ressentir.






